KR333 먹튀|korwin 토토사이트
NO.1: 23kr333
NO.2: Korwin 토토
NO.3: Kr333 카지노
NO.4: Kr3333
NO.5: Kr333win
NO.6: Krwin
NO.7: WONWIN 먹튀
NO.8: Wonwin 사이트
NO.9: korwin 토토사이트
NO.10: kr333 먹튀
NO.11: kr333-18
Korwin 토토
나이는 숫자에 불과하다고들 한다.하지만 신체 기능 측면에서 숫자는 중요하다.
중년의 시작,마흔 살이 넘어가면 확실히 많은 게 꺾인다.
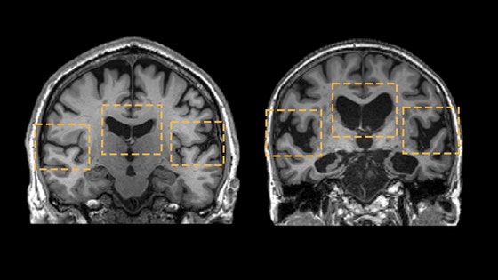
특히 뇌가 그렇다.마흔을 넘기면,우리 몸에서 가장 먼저 속도를 줄이는 기관이 바로 뇌다.혈관은 딱딱해지고,염증 수치는 올라가며,신진대사는 느려진다.겉으로는 큰 변화가 없어 보여도,뇌 속에서는 이미 구조적인 변화가 시작된다.
중년은 뇌 노화의‘가속 구간’이다.연구들을 종합해 보면,뇌는 나이에 따라 일정하게 늙지 않는다.어떤 시기에는 완만하게,어떤 시기에는 갑자기 확 꺾인다.그 급격한 하강 구간이 바로 40대 전후다.이때 해마와 백질 같은 핵심 부위의 부피가 빠르게 줄어들기 시작한다.해마는 기억과 감정,자아 정체성을 담당하는 곳이다.이곳이 위축되면,단순히 기억력이 나빠지는 걸 넘어‘내가 누구인지’에 대한 감각까지 흐려질 수 있다.
전두엽도 예외가 아니다.계획,판단,감정 조절을 담당하는 전두엽은 가장 늦게 발달하는 동시에,가장 먼저 퇴화하는 영역이다.그래서 중년 이후 “예전 같지 않다”는 느낌이 드는 건 착각이 아니다.실제로 뇌의 구조와 연결망이 바뀌고 있기 때문이다.
여성에게 중년은 더 극적이다.폐경을 기점으로 뇌의 에너지 대사 방식이 바뀌고,해마 부피는 줄어들며,백질에 부담이 늘어난다.이 변화는 눈에 보이지 않게 진행되지만,훗날 기억력 저하와 인지 기능 저하로 이어질 가능성을 높인다.
문제는,이 모든 변화가 아무 경고 없이 시작된다는 점이다.대부분의 사람은 60대가 돼서야 “뇌가 예전 같지 않다”고 느낀다.하지만 그때는 이미 많은 변화가 되돌릴 수 없는 단계에 접어든 뒤다.그래서 최근의 치매 연구는 노년이 아니라 중년의 뇌를 주목하기 시작했다.
“노년의 건강한 뇌를 위해서는 중년에 우리가 노력을 많이 해야 돼요.
그래야지 그 뇌를 잘 유지할 수 있습니다.
뇌를 잘 유지하기 위한 개인의 차가 있습니다.
그렇기 때문에 특히 가족력이 많은 사람들 그러니까 치매에 가족력이 있다거나 아니면 성인병의 가족력이 있다거나 이런 가족력이 있는 분들은 그 가족력이 없는 사람들보다 훨씬 더 많은 노력을 기울여야 그 가족력이 없는 사람들의 기본적인 위험도에 다다를 수 있습니다.”
(박기형 가천대 길병원 신경과 교수)
중년은 위기이자 동시에 기회의 창이다.
이 시기에 어떤 선택을 하느냐에 따라,뇌 노화는 완만해질 수도 있고 폭주할 수도 있다.실제로 같은 나이,같은 유전자를 가진 사람들 사이에서도 중년 이후부터 격차는 급격히 벌어진다.누군가는 50대에도 또렷한 기억력과 판단력을 유지하는 반면,누군가는 눈에 띄게 늙는다.
그리고 이 차이를 만드는 데는,공통된 패턴이 있다.
중년에 확 늙는 사람들에겐 공통점이 있다.
40세부터 이 2가지를 하지 않았다는 것.
중년의 뇌는 생각보다 훨씬 많이 되돌릴 수 있다.인지 저하를 최대 75%까지 막는 방법은 뭘까.
※ 뇌 건강의 위기를 기회로 바꿀 정보,아래 링크에서 더 보실 수 있습니다.
40대에 이 2가지 안했다…중년에 확 늙는 사람 특징
https://www.joongang.co.kr/article/25255058
Backed by research
See how it worksAt-home biofeedback training
Muse is a research-grade EEG headband that acts as your personal meditation coach. Advanced sensors accurately measure your biosignals, while gentle audio cues deliver real-time feedback to bring your focus back to the present.
korwin 토토사이트
- Lack of focus & productivity
- Mind wandering / mental noise
- Interrupted sleep
- Anxious & restless thoughts
- Inability to wind down & relax
Life with Muse
- Better focus and clarity*
- Better able to handle stress*
- Feeling calmer and more relaxed*
- Better emotional regulation*
- 20% better sleep quality**
- Data-driven insights & progress in real time
*Based on Muse customer research conducted April 2021
**A 2021 study by Cambridge Brain Science, Western University, Hatch, and Interaxon that used Muse S sleep support technology showed a 20% improvement in Pittsburgh Sleep Quality Index, relative to controls wanting to improve their sleep.
Does Muse actually work?
MDs, neuroscientists, press & real users share their results
강원랜드
The Muse S rocks!
This is without question the absolute coolest self-care item I have ever purchased. Even without the sleep tracking, I still feel this statement holds true. However, sleep tracking takes this product over the top. I highly recommend it to anybody who wants to improve their meditation practice, overall mindfulness, and sleep habits.

바카라마틴계산기
I love this device
I love this device; I practice meditation with it everyday and also I do neurofeedback using Mindlyft. I am a day trader and really helps me in my daily routine.

카지노 총판구인구직
A Divine Choreography
I'm really excited to have a Muse S. I'm just getting acquainted with it, but it's been easy to learn and navigate so far. The support for sleeping couldn't have come at a better time, as my physician is getting patients off of sleep aids. I have yet to experience the Creativity programs but am anxious to do so because I've designated this year, 2023, to bolstering that part of my life. My connecting with Muse feels like a Divine Choreography -- perfect timing!
Worth the hype.
View pressKR333 먹튀
A sleep lab at home
Your Muse headband is more than just a brain training coach. At night, it guides you into a deep, restful sleep by responsive bedtime stories designed to help you shut off your busy mind and prepare you for bed.
Muse's sleep experiences use innovative smart-fade technology to cue your brain to sleep, and fall back asleep if you wake up through the night.
Plus, it tracks how deeply you sleep and the time you spend in different sleep stages and positions, so you can use these insights to build strong sleep habits that last.
Master your mind with expert content
Start today by downloading the Muse app.
- 500+ expert-led guided meditations
- Dashboard view of progress and rewards
- At home sleep lap, with sleep score
- Courses and collections for specific life situations



